Φροντίστε τη

Στοματική
σας Υγεία!

Kλείστε το ραντεβού σας

Ιωάννης Μαρινάκης

Eπικοινωνία

Ολοκληρωμένες

Οδοντιατρικές Υπηρεσίες

Kλείστε το ραντεβού σας

Ιωάννης Μαρινάκης

Eπικοινωνία

Σύγχρονες

Οδοντιατρικές Μέθοδοι

Kλείστε το ραντεβού σας

Ιωάννης Μαρινάκης

Eπικοινωνία

ΙΣΤΙΚΗ - ΟΣΤΙΚΗ ΑΝΑΓΕΝΝΗΣΗ

Σύγχρονες οδοντιατρικές χειρουργικές τεχνικές!

Θεραπείες Αισθητικής οδοντιατρικής

Από το 1992, ο χειρουργός οδοντίατρος Ιωάννης Μαρινάκης, στα Χανιά, ασχολήθηκε με τη χειρουργική τοποθέτηση εμφυτευμάτων και αναπλαστικών υλικών ιστικής και οστικής αναγέννησης.


Τη δεκαετία του 1990 αναπτύχθηκαν μέθοδοι με τις οποίες μπορούμε να επιτύχουμε μερική ανάπλαση των ιστών που συγκρατούν τα δόντια (περιοδόντιο) και μεγαλύτερη έως πλήρη ανάπλαση του φατνιακού οστού. Καθοριστικής σημασίας ήταν, αρχικά, η χρήση της ημιδιαπερατής μεμβράνης και στη συνέχεια των αυξητικών παραγόντων, προϊόντων υψηλής βιοτεχνολογίας.

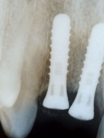
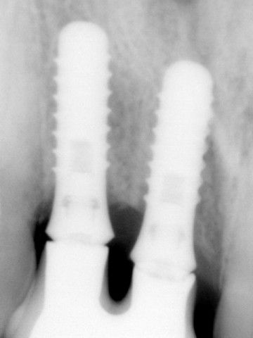
Το περιστατικό στις φωτογραφίες είναι του 1998 και αφορά αποκατάσταση απώλειας δοντιών και οστού στην πρόσθια άνω περιοχή από τροχαίο ατύχημα:

ΑΙΣΘΗΤΙΚΗ ΟΔΟΝΤΙΑΤΡΙΚΗ

Η αισθητική οδοντιατρική, παρότι τα τελευταία χρόνια προσφέρεται ακόμη και ως αντικείμενο επιμόρφωσης, ως όρος είναι κατ' ουσίαν εμπορικός και παραπλανητικός γιατί αφήνει την υπόνοια ότι πρόκειται για ξεχωριστό κλάδο ή οτι υπάρχει και μη αισθητική οδοντιατρική. Η αλήθεια είναι οτι η αισθητική διαπερνά όλη την οδοντιατρική και ότι η οδοντιατρική ήταν πάντα συνυφασμένη με την αισθητική. Απλώς παλαιότερα δεν υπήρχε η ποικιλία και η ποιότητα των σημερινών υλικών με τα οποία μπορούμε να αποκαταστήσουμε και να αντικαταστήσουμε τα φυσικά δόντια, να τροποποιήσουμε το χρώμα και το σχήμα τους.


Εδώ και τριάντα χρόνια έχουμε τη δυνατότητα με τη χρήση φωτοπολυμεριζόμενων ρητινών να κάνουμε σημαντικές συντηρητικές αισθητικές αποκαταστάσεις και είκοσι χρόνια τώρα μπορούμε να τοποθετούμε όψεις και θήκες πορσελάνης χωρίς μέταλλο για την καλύτερη δυνατή απομίμηση του χρώματος των φυσικών δοντιών. Σημαντική είναι όμως και η προσφορά των μεθόδων οστικής και ιστικής αναγέννησης για την αισθητική διαχείριση την ιστών που περιβάλλουν τα δόντια.


Στη φωτογραφία η αποκατάσταση ενός άνω κεντρικού τομέα το 1997 με αισθητικά υλικά και εμφυτευματική στήριξη.

Χαμογελάστε ξανά με σιγουριά και αυτοπεποίθηση!

 

Εμπιστευθείτε το χειρουργό οδοντίατρο Ιωάννη Μαρινάκη, στα Χανιά,

ο οποίος εξασφαλίζει, για κάθε περιστατικό, την καλύτερη δυνατή θεραπευτική διαδικασία!