Φροντίστε τη

Στοματική
σας Υγεία!

Kλείστε το ραντεβού σας

Ιωάννης Μαρινάκης

Eπικοινωνία

Ολοκληρωμένες

Οδοντιατρικές Υπηρεσίες

Kλείστε το ραντεβού σας

Ιωάννης Μαρινάκης

Eπικοινωνία

Σύγχρονες

Οδοντιατρικές Μέθοδοι

Kλείστε το ραντεβού σας

Ιωάννης Μαρινάκης

Eπικοινωνία

ΕΜΦΥΤΕΥΜΑΤΑ

Άμεση αποκατάσταση των δοντιών!

Ο χειρουργός οδοντίατρος Ιωάννης Μαρινάκης, στα Χανιά, ασχολείται με τη χειρουργική τοποθέτηση εμφυτευμάτων από το 1992, παρέχοντας οδοντιατρικές υπηρεσίες υψηλού επιπέδου. Τα εμφυτεύματα δίνουν οριστική λύση στο πρόβλημα της ολικής/μερικής απουσίας των δοντιών.

Button Text

ΕΜΦΥΤΕΥΜΑΤΑ:

Η σημαντικότερη πρόοδος της σύγχρονης οδοντιατρικής

Η σημαντικότερη πρόοδος της σύγχρονης οδοντιατρικής ξεκίνησε με μια τυχαία παρατήρηση του Σουηδού ορθοπεδικού Brαnemark τη δεκαετία του 1950, ότι το μέταλλο τιτάνιο (Ti) ενσωματωνόταν στο οστό χωρίς την παρεμβολή ενδιάμεσα άλλου ιστού.

 

Αξιοποιώντας την ιδιότητα αυτή του τιτανίου στην πιο πρόσφορη εφαρμογή της, παρουσίασε μετά από πολυετείς μελέτες στα μέσα της δεκαετίας του 1980 μια πλήρως τεκμηριωμένη μέθοδο για την αποκατάσταση ελλειπόντων δοντιών: τα οστεοενσωματούμενα οδοντικά εμφυτεύματα, ένα σύστημα με μία βίδα από τιτάνιο που τοποθετείται στο οστό των γνάθων και μεταλλικά εξαρτήματα που της επιτρέπουν να στηρίξει ένα προσθετικό δόντι ή να συγκρατήσει μια τεχνητή οδοντοστοιχία.

 

Από τις αρχές του 1990 η μέθοδος αρχίζει να εξαπλώνεται σε όλο τον οδοντιατρικά προηγμένο κόσμο -παρά τις εντελώς ανυπόστατες επιφυλάξεις μερίδας της επιστημονικής κοινότητας, η οποία στη συνέχεια έσπευσε να την υιοθετήσει- και στην Ελλάδα.

 

Η σημασία της μεθόδου της οστεοενσωμάτωσης είναι τεράστια για την οδοντιατρική, στην οποία έδωσε τη δυνατότητα να προσφέρει στους ασθενείς υψηλού επιπέδου αποκατάσταση και ποιότητα ζωής, σεβόμενη τους παρακείμενους οδοντικούς ιστούς, γι' αυτό και θεωρείται συντηρητική και όχι επιθετική μέθοδος και θεραπεία επιλογής για πλείστες όσες περιπτώσεις.

ΟΔΟΝΤΙΚΑ ΕΜΦΥΤΕΥΜΑΤΑ

Μπορείτε να… ξαναβρείτε το χαμόγελό σας!

Στην Κρήτη, στα Χανιά, ο χειρουργός οδοντίατρος Ιωάννης Μαρινάκης ξεκίνησε να ασχολείται με την τοποθέτηση εμφυτευμάτων το 1992 (μαζί με τους συναδέλφους Μανώλη Μαλεφάκη και Νίκο Παρτσαλάκη).

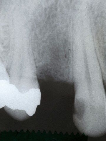
«Το πρώτο μας εμφύτευμα στην Κρήτη»

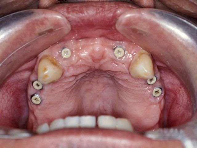
“Στις παρακάτω φωτογραφίες προβάλλονται δύο παλιά περιστατικά. Το πρώτο είναι το πρώτο μας εμφύτευμα και είναι το μακροβιότερο από όσα έχουν τοποθετηθεί στην Κρήτη! Το δεύτερο είναι μια μεγαλύτερη αποκατάσταση από το 1997”

ΠΡΩΤΟ ΠΕΡΙΣΤΑΤΙΚΟ


ΔΕΥΤΕΡΟ ΠΕΡΙΣΤΑΤΙΚΟ

Τα εμφυτεύματα δοντιών υπερέχουν λειτουργικά και αισθητικά!

Κλείστε, τώρα, ραντεβού με το χειρουργό οδοντίατρο Ιωάννη Μαρινάκη.